Yamato – Curiosis CMP Series Celloger Mini Plus
A fundamental system designed for real-time automated live cell imaging system inside your incubator.
Real-time monitoring
Maintaining the performance of a device working in a hot and humid environment is very challenging. With Celloger® Mini Plus, you can easily monitor live cells inside the incubator for a long time without disturbing the environment suitable for cell culture.


Compact size
Celloger® Mini Plus features a compact footprint of 226 (H) × 358 (L) × 215 (W) mm, allowing multiple units to fit inside a standard CO₂ incubator.
Weighing approximately 5 kg, the system can be easily carried in and out of the incubator during experiments.
Multi-point imaging
Using a motorized camera that travels 117 mm (X-axis) and 77 mm (Y-axis), multiple points within the travel range can be captured according to a user-defined schedule (intervals, cycles, and total time).


Stable imaging performance
Celloger® Mini Plus does not use a moveable stage. Instead, the internal camera moves to capture images at multiple positions. Because the vessel and cell samples remain stationary, the system maintains a stable environment that supports consistent cell growth.

Time-lapse videos, including merged Brightfield (BR) and Fluorescence (FL) images, can be created using the analysis application.
Time-lapse video
Images captured according to the predefined schedule can be easily converted into time-lapse videos with just a few clicks.
User-friendly functions
Autofocusing
Time-lapse video
Z-Stacking
Analysis tools
Z-Stacking
Analysis tools
Applications
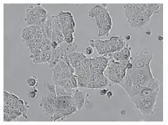
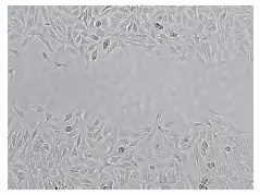
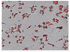
Images captured with Celloger® Mini Plus (4× objectives), featuring brightfield and green/red fluorescence imaging capabilities.
Cell monitoring
Cell Proliferation
Wound healing assay
Coculture monitoring
Cell culture & growth
Apoptosis assay
Cytotoxicity assay
Reactive oxygen species (ROS) detection
Spheroid screening assay
Transfection efficiency assessment
Available Models
Video
Specifications
Downloads
Specifications
| CMP-B2, CMP-B4, CMP-B10, CMP-BG4, CMP-BG10, CMP-BR4, CMP-BR10 |















